

儿童口腔早期矫治
一、儿童口腔早期矫治特色诊疗
儿童口腔项目:
1.儿牙早期矫治
2.儿童牙病的诊疗
3.乳牙冠套修复
4.间隙管理
5.乳牙根管治疗
6.舒适化诊疗
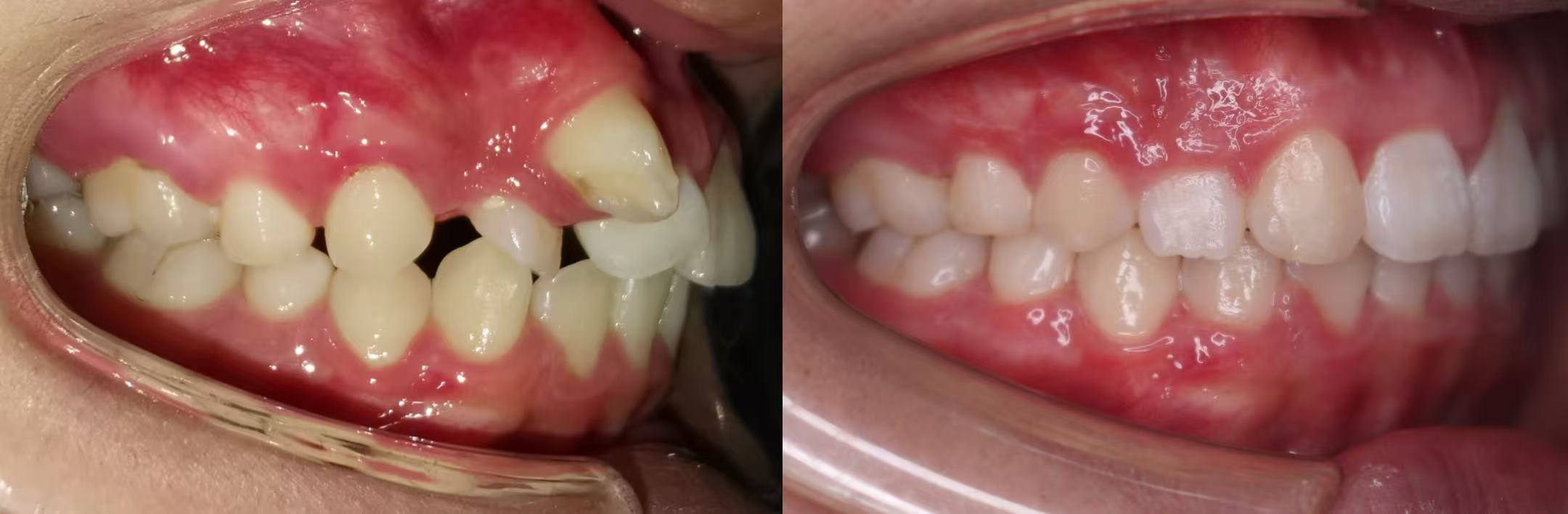
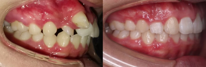
儿童口腔早期矫治优势:
1.早期矫治治疗时间短,能及时消除畸形,防止畸形给儿童造成的生理和心理伤害。
2.早期矫治可充分利用儿童生长发育潜力大,对矫治力反应好、适应性强等优势,有利于畸形的矫治。
3.早期矫治可降低某些复杂牙颌畸形的治疗难度,改善骨性畸形的上下牙弓及颌骨的不调关系,有利于后期的正畸治疗。
发布时间:2026-03-30 发布人:党政办 选择阅读字号:[ 大中小 ]
右键点击另存二维码!
上海中冶医院(上海金惠康复医院)
联系电话:56647585 地址:上海市宝山区春雷路456号
蕰川路院区
联系电话:56199940 地址:上海市宝山区蕰川路3739号
富锦路院区
联系电话:36213946 地址:上海市宝山区富锦路900号
上海中冶医院
服务号
上海中冶医院
订阅号
上海中冶医院
视频号
您的健康管家
小冶医生
Copyright © 上海中冶医院 All rights reserved. 网站信息仅供参考,不能作为诊断及医疗的依据,就医请遵照医生诊断

