孩子嘴里冒出“双排牙”,既影响笑容颜值,又导致牙齿排列不齐、清洁困难,甚至会影响孩子的颌骨发育!家长应及时干预并科学应对,这份“双排牙”应对指南请收好!
一、先搞懂:孩子为什么会有“双排牙”?
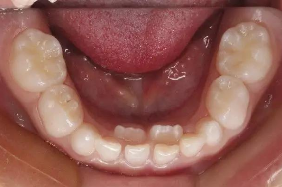
“双排牙”医学上称为乳牙滞留,指恒牙已萌出但乳牙未按时脱落,导致新、旧牙齿重叠排列。主要原因有3点:
(一)饮食过精细:孩子常吃软烂食物,咀嚼力度不足,无法有效刺激乳牙牙根吸收,导致乳牙“赖着不走”。
(二)恒牙发育异常:恒牙萌出方向偏斜,无法正常压迫乳牙牙根,或恒牙先天缺失,乳牙失去脱落动力。
(三)遗传因素:若父母幼时有乳牙滞留情况,孩子出现“双排牙”的概率会增加。
二、家长第一步:如何及时发现“双排牙”?
建议从孩子6岁左右(恒牙开始萌出)定期观察牙齿状况,重点关注这两个信号:
(一)牙齿重叠:门牙、侧门牙等部位,新牙从乳牙内侧或外侧萌出,形成“两层牙齿”。
(二)乳牙松动异常:恒牙已萌出,但对应的乳牙迟迟不松动,或松动后长期不脱落。
若发现以上情况,需及时带孩子去口腔机构检查,避免延误处理时机。
三、科学应对:不同情况的处理方法
(一)乳牙松动明显(即将脱落)
若乳牙松动度较好,恒牙萌出位置基本正常,可通过调整饮食促进乳牙脱落:
•多给孩子吃硬一点的食物,如苹果、玉米、坚果(需碾碎,避免呛咳),或啃咬玩具等,通过咀嚼刺激乳牙牙根吸收。
•避免用手或舌头去撬、舔牙齿,防止细菌感染或影响恒牙发育。
(二)乳牙顽固不松动(影响恒牙生长)
若乳牙完全不松动,且恒牙已萌出一定高度,导致牙齿排列拥挤,需及时进行乳牙拔除。
•手术过程快速,医生会进行局部麻醉,疼痛感轻微,家长无需过度担心。
•拔除后,恒牙会在生长过程中逐渐调整位置,若后期仍有排列不齐,可在恒牙全部萌出后(12-14岁)评估是否需要正畸矫正。
(三)恒牙萌出异常(方向偏斜)
若恒牙萌出方向严重偏斜,可能需要提前干预,如佩戴间隙保持器,为恒牙生长预留足够空间,避免后续牙齿拥挤加重。
四、预防大于治疗:从童年养成护牙习惯
(一)调整饮食结构:避免长期给孩子吃流食软烂食物,保证每日有足够的咀嚼练习,促进颌骨和牙齿正常发育。
(二)坚持口腔清洁:从孩子长出第一颗牙开始,每天用婴儿牙刷或纱布清洁牙齿,饭后漱口,预防蛀牙(蛀牙也可能导致乳牙滞留)。
(三)定期口腔检查:每年带孩子做1—2次口腔检查,及时发现牙齿发育问题,做到早发现、早干预。
孩子的牙齿健康不仅关乎颜值,更影响咀嚼功能和全身发育。面对“双排牙”,家长无需焦虑,只要及时观察、科学处理,就能帮助孩子拥有整齐健康的牙齿,绽放自信笑容!

